・左右とも前から5番目までの歯 ・奥歯が全部生えそろっている場合、奥から2番目の歯 金属アレルギーがある方の場合は、これらの歯以外の場合でも保険適用となることがあります。 ただし、「条件に当てはまるから、白い被せ物にしたい!. 放置すれば歯を失う原因となる「虫歯」や「歯周病」。ところが、歯が傷んでいたとしても進行具合によってはまだ歯を残すことができる。その場合に適用されるのが、かぶせものだ。虫歯や歯周病でも自分の歯を残せる可能性はあるのだろうか。入れ歯にする、しないの基準や歯のかぶせもの.

セラミッククラウン(被せ歯)|多治見市で安心・安全な歯医者をお探しなら歯科医院はやし

前歯(失活歯)の被せ物治療(ジルコニア冠)|埼玉県羽生市の木村歯科

名古屋市北区(黒川駅1分)で再発しにくい虫歯治療|みのデンタル

【銀歯】被せ物の型取りについて YouTube

神経をとった歯は注意! 総合歯科治療の東京代々木駅前歯科・矯正歯科・口腔外科

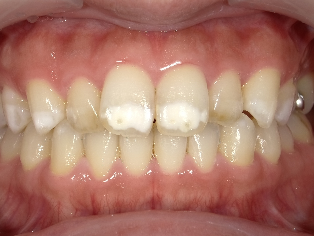
第12話 前歯に白い部分があるんだけど、治したい。でも、削りたくないなぁ、、 そのホワイトスポット、削っちゃうの?

被せ物(銀歯)のやり直し|デンタルクリニック麻布仙台坂 麻布十番駅の歯医者・歯科医院 セラミックの治療

前歯(失活歯)の被せ物治療(ジルコニア冠)|埼玉県羽生市の木村歯科

img01 よつ葉歯科クリニック

奥歯の詰め物(白いセラミック)かぶせ物ふじもと歯科

補綴物|クラウン(被せ物・差し歯)│藤原歯科医院

補綴物|ブリッジ│藤原歯科医院

審美歯科 福島県 いわき市 城東歯科クリニック

奥歯の銀の被せ物(メタルクラウン)を白い歯(セラミッククラウン)へ:新潟市中央区大島の浅井歯科医院 浅井歯科医院

歯の被せものと歯茎の隙間・段差について 恵比寿 代官山 渋谷区

【根管治療】左上の前歯の被せ物が取れた(診査編) Inoue Dental Clinic|立川の歯科医院

奥歯の被せもの(クラウン)税込み よつ葉歯科クリニック

詰め物・被せ物がとれた|綱島の歯医者 ほんだ歯科

奥歯のつめもの(インレー)税込み よつ葉歯科クリニック

60代女性「被せものをした歯が虫歯になった」銀歯と保険の白い歯の虫歯をセラミックで綺麗にし、噛み合わせも治した症例 東鎌ヶ谷歯科
歯の白い詰め物の種類. 歯の詰め物には、金属のものからプラスチックのものまで、さまざまな素材が使われています。 さまざまな素材のなかでも、白い詰め物として使われるものは、主にコンポジットレジンとセラミックの2種類です。. 保険の白い歯の種類と特徴. 虫歯を取り除いた所に直接詰める白いプラスチックです。. 「詰め物」と患者さんには説明しているもので、虫歯が小さい場合に使用します。. 型取りが必要なく、その日のうちに治療が終わります。. 金属の被せ物の表面に.